‘‘I Never Thought My Smile Could Look So Good!”

When we think of braces, the image of teenagers with metal smiles frequently comes to mind. However, the world of orthodontics has evolved, and an increasing number of adults are now choosing to straighten their teeth for both aesthetic and health reasons. When many adults visit our office for consultations, their overall perception is that they are too old for orthodontic treatment and won’t “fit in” as a patient in our practice. Truth be told, about 30% of all our patients are adults. Trust me… you will fit in just fine!
Here are a few reasons why more adults are choosing orthodontic treatment:
- Aesthetic Concerns: Adults are more conscious of appearance than ever. Misaligned teeth can affect confidence and self-esteem. Many of our adult patients are parents of kids who have completed treatment in our office and they love their kids’ confident smiles.
- Health Benefits: Beyond aesthetics, straightening your teeth can have significant oral and general health benefits. Misaligned teeth can lead to issues such as jaw pain, chewing problems, and even digestive problems. By opting for orthodontic treatment, adults can improve their oral health and overall well-being.
- Advancements in Technology: Traditional metal braces are no longer the only option. Innovative technologies have made it possible for the use of alternatives like clear aligners (such as Invisalign®) and ceramic, tooth-colored braces. These options provide effective results but make it more comfortable with reduced visibility.
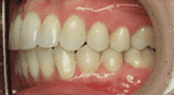
Take a look at one of our adult patients. Kim just had her braces removed a few weeks ago. She never had considered braces until she noticed so many people leaving our office with such amazing smiles!
BEFORE
AFTER 12 MONTHS OF TREATMENT
Orthodontic treatment for adults is not just about achieving a straighter smile; it’s about embracing change and investing in one’s overall well-being. Kim loves her new smile and recently told me, “I’m glad I made the decision to do something for myself to increase my confidence and improve my smile!” With a variety of options available, adults can now choose the treatment that best fits their lifestyle and preferences. If you’re considering orthodontic treatment, call Coleman Orthodontics to explore the possibilities and take the first step toward a healthier, more confident smile.
Keep Smiling and Merry Christmas!
Dr. Coleman
Share this blog with someone!

















