See How We Corrected This Crossbite In an 8-Year-Old Patient at Coleman Orthodontics!

Some younger kids develop a bite problem called a “crossbite”. There are different kinds of crossbite problems but most of them occur when the upper jaw grows too narrow compared to the width of the lower jaw. There are multiple reasons for this abnormal jaw growth but more on that later. Several additional problems can develop because of this narrow upper jaw growth. These are:
- Crowding of the upper front permanent teeth
- A “shift” of the lower jaw sideways (which is the only way the child can bite and chew food)
- Crooked lower jaw growth
- Abnormal tooth wear
- Breathing and airway problems
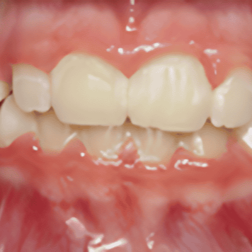
This is an 8-year-old that we treated recently. Notice how her upper jaw is shaped narrower than her lower jaw. Even though her upper front teeth have spaces between them, a closer look shows that there isn’t enough room for her side teeth, the lateral incisors to grow in. When she is biting her teeth together you can see that her upper and lower midlines don’t line up with each other and she has a crossbite on one side in the back.
BEFORE
She was treated with an upper expander retainer to widen her upper jaw which helped with the crossbite correction. We also used upper and lower limited braces to align the crowded front teeth.
Here’s her results showing a much wider upper jaw, straight upper teeth and lower front teeth, a better bite in the back on both sides and a great big confident smile!
AFTER
Keep in mind that kids who need early treatment will almost always need a final phase of treatment when they are older to align all the other permanent teeth that haven’t grown in yet. But she now has the benefit of more room for those permanent teeth to fit and most importantly, normal jaw growth growing forward because of the crossbite and growth correction that was completed.
Remember that the American Association of Orthodontists recommends that all kids 7 and older have an orthodontic consultation. You don’t need a referral from a dentist for that appointment. Feel free to call us at 801-614-9090 to schedule! And don’t forget to…
Keep Smiling,
Dr. Coleman
Share this blog with someone!















