See How We Treated This Eight-Year-Old With Crowded Teeth!

One of the most common problems I see in young kids between 7-10 years old is crowding. During the ages of 6-8 years old, the four front permanent teeth in the upper jaw and lower jaw are all trying to grow in at the same time. If a child’s jaws are too small to accommodate those front eight teeth, they will have a very hard time coming in, if they come in at all. One common reason for this overcrowding is jaws that are too small. Orthodontists have the ability with special appliances and oftentimes limited braces on some of the teeth to make enough space for those permanent ones to erupt.
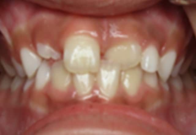
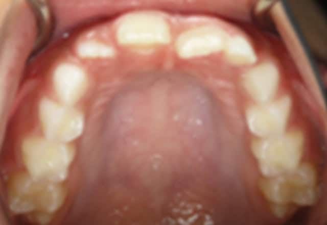
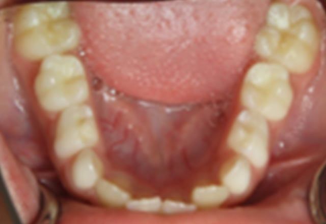
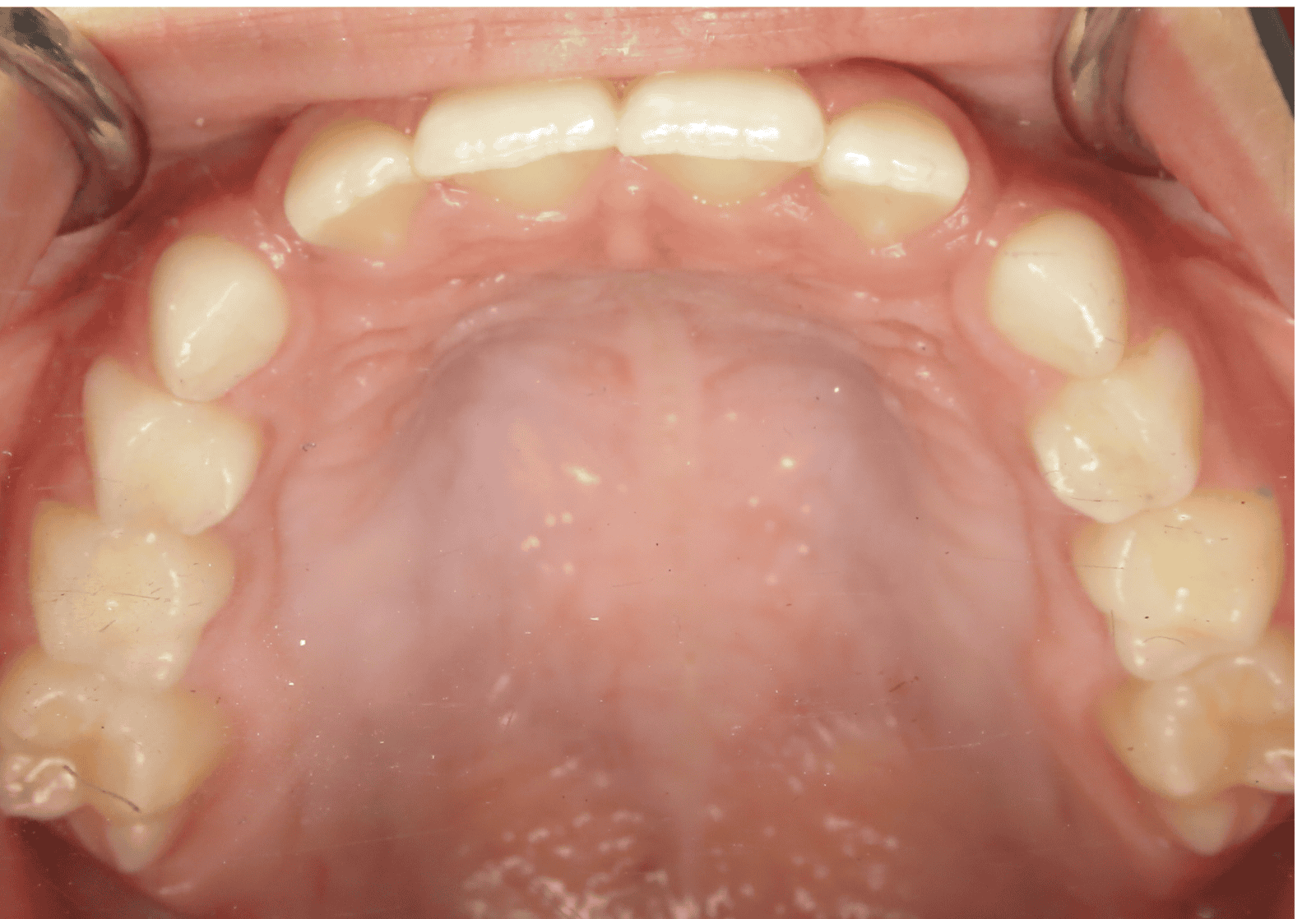
Here’s a case in point. This patient was 8 years old when he first came to our office. His top and bottom front permanent teeth didn’t have enough room to fit. You can see how narrow his upper and lower jaws were. We first used special retainers called expanders to widen his upper jaw and “upright” his lower back teeth. Uprighting means to tip the back teeth out so they don’t angle in towards his tongue so much. Then with some limited braces, we moved his upper and lower front permanent teeth into this new space created by the expansion. It’s important to do this expansion treatment when a child is growing. Once growth is complete, it’s only possible to expand the jaws with surgery or more difficult procedures.
BEFORE
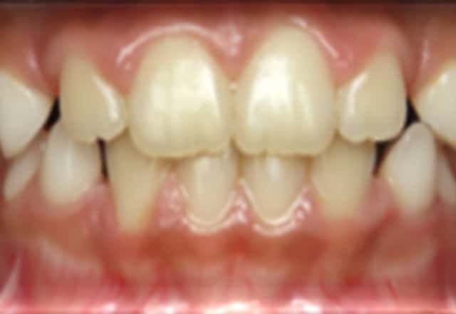
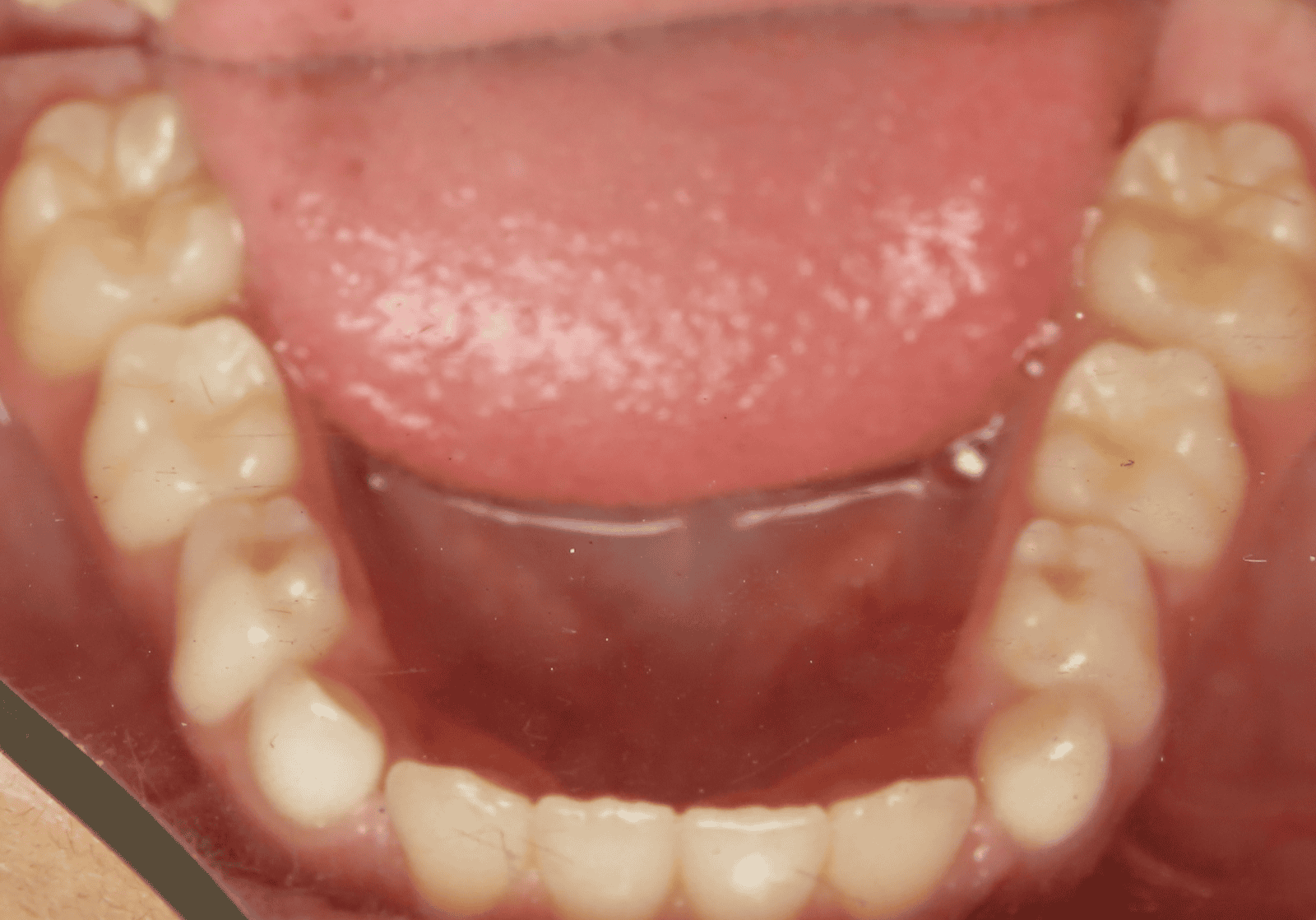
AFTER
This is the final result of his early orthodontic treatment, sometimes called “Phase 1” treatment or “Interceptive” treatment. Notice how much wider his upper and lower jaws are. Notice how his upper and lower front permanent teeth all fit in better. Now he’ll have enough room for all of his other permanent teeth to eventually grow in. And as a side note, he gained a lot of confidence in his smile and the way his teeth looked! That’s always a positive for these younger kids too.
Remember that the American Association of Orthodontists recommends that all kids 7 and older have an orthodontic consultation. If you have any questions about early orthodontic treatment or otherwise, please call our Coleman Orthodontics office in Syracuse, Utah at 801-614-9090. We are passionate about helping people understand more about the benefits of orthodontic treatment!
Keep Smiling,
Dr. Coleman
Share this blog with someone!















